Виниры из диоксида циркония
- Гарантия на работу и виниры — 10 лет
- Стоматологи-ортопеды со стажем работы от 8 до 25 лет
- Рассрочка 0% до 6 месяцев
Виниры из циркония и их преимущества
Цирконий - это высококачественный керамический материал, известный своей прочностью и естественным внешним видом. Виниры из циркония изготавливаются так, чтобы имитировать полупрозрачность и цветовые вариации натуральных зубов, в результате чего улыбка получается очень реалистичной.
Одним из ключевых преимуществ циркониевых зубных виниров является их удивительная прочность. Они очень устойчивы к сколам, трещинам и окрашиванию, что обеспечивает долговечность результата. При надлежащем уходе и обслуживании циркониевые виниры могут сохранять свою красоту и функциональность в течение многих лет, обеспечивая вам сияющую улыбку, которая выдержит испытание временем.
Еще одной замечательной особенностью циркониевых виниров является их биосовместимость. Это означает, что они хорошо переносятся деснами и окружающими тканями полости рта, что снижает риск раздражения или аллергических реакций. Точная подгонка и гладкая поверхность циркониевых виниров также способствуют их комфорту и совместимости с естественной средой полости рта.
Циркониевые виниры - отличный выбор для решения широкого спектра косметических проблем, включая изменение цвета, смещение, зазоры и неправильную форму зубов. Они могут преобразить вашу улыбку, создав гармоничный, сбалансированный и безупречный внешний вид, который повысит вашу уверенность и улучшит общую эстетику лица.
В наших стоматологических клиниках АЙСБЕРГ мы гордимся тем, что предлагаем самые современные процедуры с использованием циркониевых виниров. Наша команда квалифицированных специалистов использует передовые методы и современные технологии для обеспечения точных и индивидуальных результатов. На протяжении всего процесса лечения мы уделяем первостепенное внимание комфорту, удовлетворенности и здоровью полости рта пациента.
Если вы хотите иметь сияющую улыбку, излучающую естественную красоту и исключительную долговечность, циркониевые зубные виниры могут стать для вас идеальным решением. Запланируйте консультацию в нашей клинике, чтобы изучить возможности и позволить нам помочь вам добиться улыбки вашей мечты с помощью искусных и точных циркониевых виниров.
ПОКАЗАНИЯ
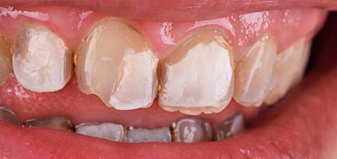
Сильное обесцвечивание зубов: Циркониевые виниры могут эффективно покрыть зубы с сильным внутренним или внешним окрашиванием, которое невозможно исправить с помощью отбеливания зубов.
Сколы на зубах: Если у вас сколоты, изношены или имеют неровные края зубы, циркониевые виниры могут восстановить их форму, размер и симметрию, в результате чего улыбка станет более эстетичной.
Неправильное расстояние между зубами или с целью выравнивания: Циркониевые виниры могут помочь устранить легкие и умеренные случаи зубных промежутков или скученности. Установив виниры на пораженные зубы, можно добиться более равномерной и гармоничной улыбки.
Коррекция формы и размера зубов: Если у вас слишком маленькие, неправильной формы или с неправильными контурами зубы, циркониевые виниры могут быть использованы для изменения их формы и размера, создавая более сбалансированный и приятный внешний вид.
Незначительные дефекты зубов: Циркониевые виниры могут эффективно скрыть незначительные недостатки, такие как дефекты эмали, ямки или неровности поверхности, в результате чего поверхность зуба становится более гладкой и привлекательной.
Важно проконсультироваться с квалифицированным стоматологом или ортопедом, чтобы определить, подходят ли циркониевые виниры для решения ваших конкретных стоматологических проблем. Они оценят состояние здоровья полости рта, обсудят желаемый результат и порекомендуют наиболее подходящий план лечения с учетом ваших потребностей.
ПРОТИВОПОКАЗАНИЯ
Сильный кариес: Если основная структура зуба сильно разрушена, она может оказаться неподходящей основой для установки циркониевых виниров. В таких случаях перед установкой винира необходимо сначала вылечить кариозный зуб.
Болезни десен: Запущенное заболевание десен, такое как пародонтит, может повлиять на стабильность и здоровье опорных тканей вокруг зубов. Перед установкой виниров необходимо пройти лечение у стоматолога.
Скрежетание или стискивание зубов: Люди, имеющие привычку скрежетать или стискивать зубы (бруксизм), могут быть неподходящими кандидатами на установку циркониевых виниров. Чрезмерная сила, прилагаемая при скрежетании зубами, может привести к переломам или повреждению виниров. В таких случаях могут быть рекомендованы защитные меры (специальные каппы) или альтернативные методы лечения.
Плохая гигиена полости рта: Поддержание хорошей гигиены полости рта имеет решающее значение для долгосрочного успеха любой стоматологической реставрации, включая циркониевые виниры. Пациенты с плохими привычками гигиены полости рта или те, кто не желает регулярно ухаживать за зубами, могут быть неподходящими кандидатами для установки виниров.
Важно проконсультироваться с квалифицированным стоматологом, который сможет оценить состояние здоровья полости рта, оценить возможные противопоказания и порекомендовать наиболее подходящий план лечения для достижения желаемой улыбки.
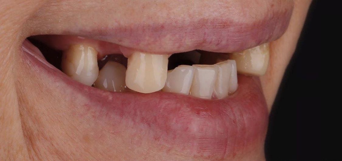
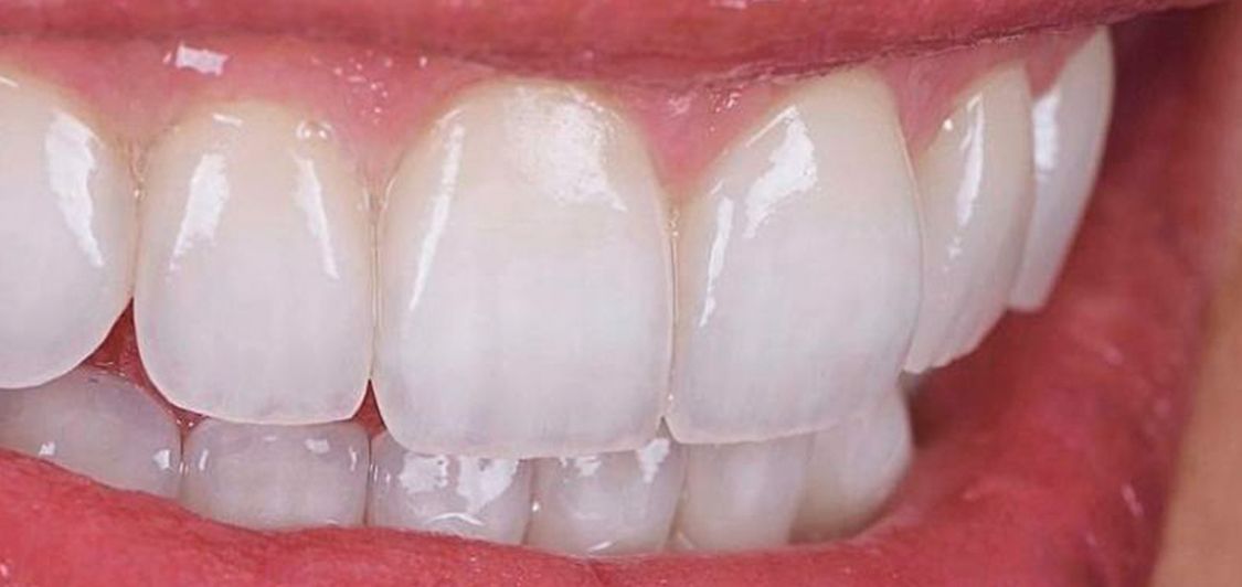
До и после установки циркониевых виниров












Как ухаживать за циркониевыми винирами
Правильный уход и обслуживание необходимы для обеспечения долговечности и внешнего вида ваших циркониевых зубных виниров. Вот несколько советов по уходу за циркониевыми винирами:
Поддерживайте хорошую гигиену полости рта: Чистите зубы не менее двух раз в день зубной щеткой с мягкой щетиной и фторсодержащей зубной пастой. Ежедневно пользуйтесь зубной нитью, чтобы удалять налет и остатки пищи между зубами и вдоль линии десен. Для борьбы с бактериями и поддержания свежего дыхания используйте антибактериальный ополаскиватель для рта.
Избегайте чрезмерных усилий: Хотя циркониевые виниры долговечны, важно избегать использования зубов для кусания или жевания твердых предметов, таких как лед, ручки или ногти. Чрезмерная сила может повредить или сместить виниры.
Ограничьте употребление веществ, вызывающих появление пятен: Несмотря на то, что циркониевые виниры устойчивы к образованию пятен, все же не помешает ограничить потребление сильно пигментированных продуктов и напитков, таких как кофе, чай, красное вино и ягоды. Если вы все-таки употребляете красящие вещества, прополощите рот водой или почистите зубы, чтобы свести к минимуму возможное появление пятен.
Носите каппу: Если вы занимаетесь контактными видами спорта или имеете привычку скрежетать зубами (бруксизм), ношение изготовленной на заказ каппы поможет защитить ваши циркониевые виниры от возможных повреждений. Проконсультируйтесь со своим стоматологом, чтобы изготовить каппу с учетом ваших конкретных потребностей.
Регулярно посещайте своего стоматолога: Планируйте регулярные стоматологические осмотры и профессиональные чистки, чтобы следить за состоянием ваших циркониевых виниров и общим состоянием полости рта. Ваш стоматолог сможет выявить любые проблемы на ранней стадии и при необходимости обеспечить необходимое обслуживание или корректировку.
Следуя этим инструкциям по уходу и регулярно посещая стоматолога, вы сможете обеспечить долговечность и эстетику ваших циркониевых виниров, что позволит вам наслаждаться красивой улыбкой долгие годы.
Установку циркониевых виниров проводят:
Не откладывайте здоровье Ваших зубов на завтра
на осмотр и консультацию










