Профессиональная чистка зубов
- Снижает риск образования кариеса на 65%
- Осветление эмали на 1-2 тона без отбеливания
Преимущества профессиональной гигиены полости рта
Красивая улыбка
Повышение комфорта
Экономия на лечении
Подготовка к манипуляциям
Эффект отбеливания
Профессиональная чистка зубов доступна по цене каждому и абсолютно безвредна. Она не оказывает разрушающего воздействия на эмаль, пломбы и протезы. Кроме этого, эта процедура практически всегда делается перед отбеливанием.
Процедуру необходимо проводить один-два раза в год, учитывая индивидуальные особенности организма. Стоматологи рекомендуют ее перед началом лечения. Они объясняют это тем, что в этом случае можно обнаружить кариес на ранней стадии и раньше начать лечение.

Чистка зубов уже сегодня
стоматолога 1-2 раза в год — и кариеса
не будет!
Залог качественного и безболезненного лечения зубов —
«Приходите к нам раз в 6 месяцев, чтобы не беспокоиться о здоровье своих зубов все 365 дней в году»
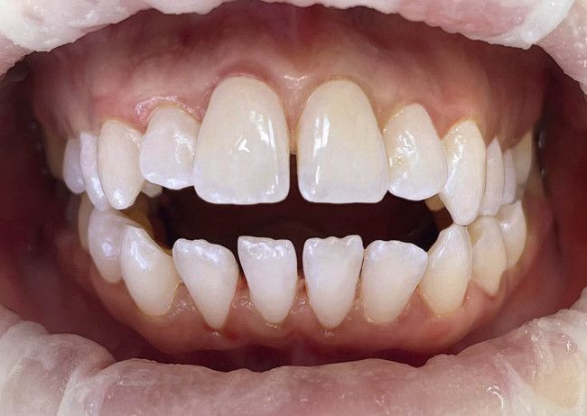
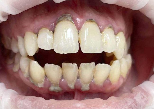
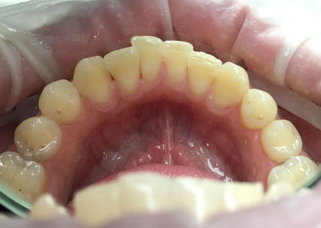
Примеры работ






Мы постоянно проводим акции на профессиональную чистку зубов в Санкт-Петербурге, цена которой непременно обрадует каждого пациента. Процедуру проводит квалифицированный врач-стоматолог с огромным опытом. В результате Вы получаете замечательный эстетический результат – зубной ряд светлеет на 1-2 тона и появляется ощущение свежести во рту.
Этапы профессиональной чистки в СПб
Сначала снимается зубной налет и камни, с использованием химических или механических способов.
Врачи-стоматологи используют:
-
ручные скалеры – инструмент для механического удаления налета;
-
химические препараты (перекись водорода);
-
специальные аппараты (аппараты воздушной полировки, ультразвуковые скалеры).
Далее шлифуется поверхность зубного ряда, для этого применяются резиновые щеточки и абразивные пасты.
Затем производится полировка. При наличии у пациента пломб, проводится полировка их поверхности, чтобы они не изменили цвет и не утратили механическую прочность.
После завершения на зубы наносится лечебный состав, способствующий укреплению эмали и служащий дополнительной защитой от кариеса.
на осмотр и консультацию

