Коронки на зубы
- Восстановление визуальных и жевательных функций улыбки с помощью протезирования коронками
- Восстановление зубов за 7-14 дней
Что такое коронка?
Коронка ─ это конструкция, полностью покрывающая все пять поверхностей зуба ─ жевательную, две контактные, щечную и язычную.
Как работает коронка?
Коронка связывает все поверхности зуба в единое целое и принимает на себя удар жевательной нагрузки. Коронка может сломаться, может произойти скол. Но даже, если коронка сломалась, зуб под ней остается целым, то есть защита в таком случае срабатывает.

Показания к применению
-
Крупная пломба, выходящая за пределы жевательной поверхности;
-
Разрушения более 50 % зуба;
-
Эстетические показания к изготовлению коронок, когда крупная пломба изменяет цвет на передних зубах, а конструкция винир рискует отвалиться от зуба при нагрузке.
-
Стираемость зубов при недостаточной минерализации тканей зубов, либо при нагрузке на зубы, вызванной повышенным тонусом жевательных мышц (особенно, в ночное время), а также травмой (скол).
-
Зуб с полностью разрушенной коронкой при наличии феррул-эффекта – толщины и высоты оставшегося зуба над десной после полного разрушения коронки.
-
Эстетические показания (цвет, форма). Ортодонтические показания, в случае, когда ортодонт менял прикус, наклон зубов, и остались щели между зубами, неоптимальное смыкание зубов (неудобное, нестабильное).
Противопоказания к изготовлению
-
Циркулярный кариес (кариес на всех поверхностях зубов, то есть в области шейки, пришеечной зоне, а также кариес, переходящий на корень зуба и глубокие поддесневые сколы;
-
Полное отсутствие коронковой части зуба, даже если можно этот зуб восстановить штифтом, поскольку приходится значительно углубляться под десну и располагать край коронки в зоне, где он в принципе не должен быть (то есть край коронки должен быть либо вровень с десной, либо заходить чуть под десну).
Преимущества протезирования зубов коронками

улыбки
Виды зубных коронок
Металлосодержащие коронки, цельнометаллические или цельнолитые (фрезерованные), чаще всего, из кобальтохромового сплава (КХС), сейчас делают редко, обычно в поликлиниках, поскольку это относительно дешевый вариант. Металлосодержащие коронки могут облицовываться:
-
пластмассой;
-
композитом с неким эстетическим эффектом;
-
керамикой, чаще всего делается металлокерамика;
-
металлический слой может быть, как стандартным из КХС кобальтохромового сплава, так и золотоплатиновым. Но эти технологии уже в прошлом.
Безметалловые коронки делятся по химическому составу материалов:
-
пластмассовые коронки;
-
композитные коронки;
-
коронки цельнокерамические из полевошпатной керамики (чаще этот материал используется для тонких виниров, которые коронками не являются);
-
коронки из дисиликата лития (чаще называются коронками e.max) ─ эстетичный полупрозрачный материал. Изготавливается в основном на передние зубы (премоляры);
-
коронки из оксида циркония (чаще называются “циркон-коронки”) используется для крупных зубов (моляров), принимающих на себя большую жевательную нагрузку. Существует два вида коронок из оксида циркония:
-
полная, цельная коронка из циркона с прокрашиванием, так называемая, полная анатомия;
-
коронка из оксида циркония с облицовкой керамикой, то есть циркон может покрываться керамикой.
-


Какие коронки на зубы лучше?
-
С точки зрения эстетики предпочтительнее дисиликат лития (e.max-коронки).
-
С точки зрения восстановлении функции и прочности жевательных зубов оксид циркония предпочтительнее.
-
С точки зрения бюджетной стороны, многие пациенты склоняются к более дешевым металлокерамическим коронкам, однако, эти коронки требуют большей обточки зубов, менее эстетично выглядят и в случае поломки сложнее ремонтируются.
Этапы установления:
Залог качественного и безболезненного лечения зубов —
Наши цены ниже рыночных на 19%

-
Широкий спектр зуботехнических изделий: от временной коронки до высокоточных фрезерованных балочных конструкций
-
Изготовим за 1 день
-
Индивидуальный подход и контроль на всех этапах изготовления
-
Гарантии, прописанные в договоре
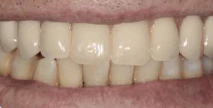
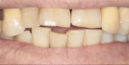
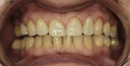
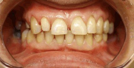
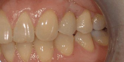
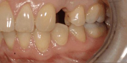
Примеры работ






Как правильно ухаживать за коронками?
-
Чистка зубов после каждого приема пищи по 2-3 минуты щеткой правильной жесткости – щетка средней жесткости для очищения самой конструкции, мягкая щетка для вычищения поддесневых отложений.
-
Зубные нити используются исключительно в области зубов или протезов на зубах. Нельзя использовать нити в области имплантатов, поскольку нарушается прикрепление десны к коронкам на имплантате, и пища, налёт, легко проникает в область соединения имплантата с костью. Лучше всего соединяется с десной конструкция из оксида циркония.
-
Жевательная резинка без сахара с содержанием ксилита и карбамида способствуют самоочищению зубов. Карбамид – это мочевина, препятствующая образованию бактерий в полости рта. Сегодня торговые компании почему-то не пишут состав жевательной резинки.
-
Различные ополаскиватели также улучшают флору. Но главное – это чистка зубов до получения конечного результата.
-
Профессиональная гигиеническая чистка полости рта у стоматолога не менее четырех раз в год.
Особенности ношения для беременных женщин.
В первый триместр, когда идет закладка плода, нужно воздерживаться от обезболивающих препаратов и планового посещения врача-стоматолога. По возможности посещать врача-стоматолога только в случае крайней необходимости. Показания ─ сильная боль, воспаление (особенно гнойное), ухудшение общего состояния пациента. В третий триместр есть опасность спровоцировать преждевременные роды.
на осмотр и консультацию














